Full Mouth Rehabilitation
The ability to change lives through comprehensive care is truly a wonderful part of dentistry. But along with the advantage to the patient, there is a challenge to the providers to understand and address the chief concerns and desires of the patient, as well as to understand all the medical and dental implications related to treatment.
Two other considerations need to be made with regard to full-arch or full-mouth comprehensive care: Will the care being considered be tolerated and accepted physiologically? Can the desired treatment be provided within the financial constraints that many patients are presenting with in the current economic times?
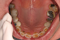
There can be many issues regarding the patient's ability to tolerate and accept the intended care. What will be the restorative material choice? What is the health of the stomatognathic system? Is this a case that requires a change in the patient's existing vertical dimension of occlusion (VDO)? If the bite needs to be opened, how much is enough? How does one know if it is too much or too little? Can a trial bite position be done? How can a trial bite position be transferred to the final bite records? Not answering these questions can result in providing hope dentistry,a situation when the clinician simply hopes that everything turns out for the best.
Further complicating the case is the increasing desire by patients to spread their care out over time, sometimes a year or more. Of course, when providing full-arch or full-mouth care in a case requiring that we open the bite, traditional quadrant dentistry is not applicable. Therefore, new methods must be devised to create holding patterns until the next phase of care can be started.
The case presented here will illustrate a method to satisfy both concerns discussed above. By using these techniques, providers can eliminate hope dentistry and be sensitive to their patient's financial situation.
